
38歲的林小姐平常除了工作以外,最大的興趣是追星,雖有高血脂及心臟病家族史但平時身體無恙,去年冬天前往演唱會途中,於捷運站內突然喪失意識,站內人員立即協助施行CPR,隨後EMT前往接手急救與電擊,並立即送往台北慈濟醫院急診,一連串急救處置後,經心導管檢查確認為急性心肌梗塞。由於三條冠狀動脈均出現嚴重阻塞,其中最主要的左前降支近端更呈現完全阻塞狀,已無法透過氣球擴張或支架方式處理,考慮患者年紀尚輕,心臟血管外科宋鎮宇醫師緊急實施冠狀動脈繞道手術,讓她免於因持續灌流不足引發的惡性心律不整、心臟衰竭等併發症。術後經歷拔管、病房積極的心肺復健,於兩週後返家。後續門診持續藥物治療,並與宋醫師一同討論調整生活作息及運動習慣,病況穩定後順利重回追星生活,但也因此更重視健康的飲食與人生。
在台灣,平均每天約有26.5人發生急性心肌梗塞。常見危險因子包括家族病史、糖尿病、高血壓、高血脂、肥胖、抽菸、缺乏運動與長期壓力等。宋鎮宇醫師表示,過往急性心肌梗塞等心臟病多被認為是高齡者疾病,但近年來因生活作息不規律及飲食習慣改變,發病年齡有下降趨勢,根據美國心臟醫學會2010年的統計,冠狀動脈疾病在大於65歲的族群為20%,極少數發生於18至45歲者,機率仍有1.8%,是值得被關切的一群。
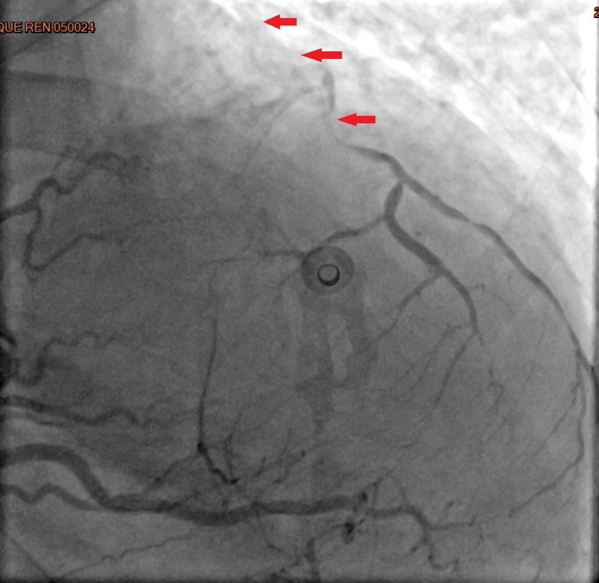
「通常需要做到緊急手術的,大多是急性心肌梗塞。」宋醫師說明,緊急心臟手術為了減少缺血休克時間,通常得由正中打開胸骨,快速建立體外循環,進而施行繞道手術。以林小姐為例,醫療團隊當下以主動脈氣球幫浦與強心劑協助穩定血壓,再採取內胸動脈及大隱靜脈完成所有血管的接合,阻塞的左前降支則以內胸動脈供血,讓足夠的血流能夠重新灌注缺氧的心肌,重獲新生。國外統計指出,以此方式接合的血管,十年暢通率可維持達90%。此外,若是穩定型的冠狀動脈心臟病,病人可在與醫師討論評估後以達文西機械手臂輔助的方式以小傷口進行,但此項手術仍然有條件的限制,得考量病人的體型、病灶的位置,且需在資格認證的醫院及醫師指導下進行。

50歲以下族群因身處中間世代,工作壓力大,容易忽略飲食及健康管理,因此當有突發的心臟健康狀況時,往往相當危急;此外,三高是急性心肌梗塞的危險因子,但多數人不會每年健檢追蹤,因此無法察覺到危險。宋醫師提醒,高風險族群除了常規心電圖及X光檢查,必要時可進一步安排運動心電圖或核子醫學心肌攝影,讓潛藏疾病及早現形。
宋鎮宇醫師強調:「定期檢查與健康管理,是維護心臟功能的重要關鍵,胸悶、心悸或突發喘促都不應忽視,及早就醫才能避免憾事。」
撰文/周子寧;攝影/盧義泓、台北慈濟醫院
