
攝護腺癌是台灣男性常見的癌症之一,但因為無法在早期精準診斷,被發現時往往已步入中晚期。台北慈濟醫院長期深耕攝護腺癌的早期診斷與精準治療,在國健署最新公告的全國癌症五年存活率統計資料中,由初期到末期的五年存活率皆優於全國醫學中心,治療成效卓越。以75歲的林爺爺為例,他因為攝護腺肥大、排尿困難,前往泌尿科蔡曜州主任門診。抽血檢查發現攝護腺特異抗原指標(PSA)達6.42ng/ml (正常為4ng/ml),蔡曜州主任進一步安排核磁造影與超音波影像融合攝護腺切片檢查,診斷為早期攝護腺癌,遂進行達文西攝護腺癌根除手術,在保留雙側神經血管的情況下,完整切除腫瘤。術後,林爺爺預後良好,排尿功能明顯改善。
衛福部110年癌症登記報告指出,攝護腺癌的發生率在台灣男性排名第六位,死亡率佔第五位,確診時為第四期的患者比例就超過三分之一。蔡曜州主任指出,攝護腺癌早期症狀與良性攝護腺肥大相近,包括排尿不順、尿流變細、頻尿、夜尿、尿急、滴尿、血尿或尿失禁等,容易被忽略而延誤就醫;一旦進展至晚期,癌細胞可能出現轉移,不僅治療難度大幅提高,整體預後也明顯變差。根據國健署資料顯示,全國早期攝護腺癌的五年存活率落在80.74%,晚期則為49.53%,因此及早篩檢、及早診斷成為影響治療成效與預後的關鍵。

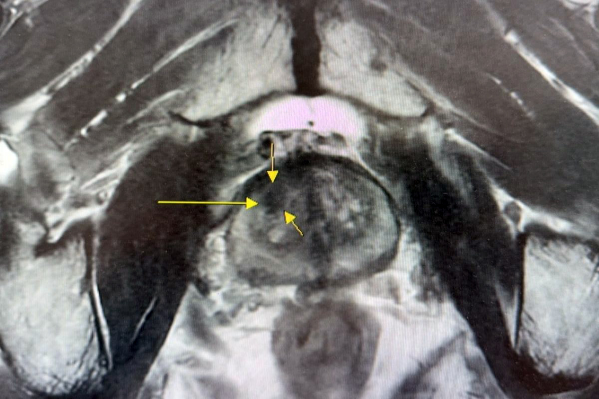
在早期診斷方面,台北慈濟醫院以「核磁造影與超音波影像融合攝護腺切片」,取代傳統「經直腸超音波攝護腺切片」,利用3D影像融合技術將核磁造影顯示的病灶與超音波重疊,讓切片檢查不再是隨機,避免誤判良性或需要重複切片的情形發生。這樣的改變,讓切片準確率提升六至七成,病人得以在早期病灶尚未擴散、轉移時就接受手術治療,平均五年存活率高達九成;而在治療挑戰最高的末期患者中,台北慈濟醫院第四期的五年存活率仍達近六成,整體成效遠高於全國醫學中心。蔡曜州主任說明:「晚期攝護腺癌治療並非單一科別或單一療法可完成,團隊在治療策略上會依據病人確診期別、腫瘤侵犯範圍與身體狀況,整合泌尿科、放射腫瘤科等領域的專業人員,進行個人化治療。其中包括化學治療、放射線治療、賀爾蒙治療以及標靶藥物治療,延長存活期的同時,兼顧病人的生活品質。」
近年來國內外多項研究文獻也指出,過去應用於偵測攝護腺癌復發病灶的「前列腺特異性膜抗原正子斷層掃描(PSMA PET)」,因其高靈敏度,能更精準辨識超音波、核磁共振未能顯示的潛藏癌細胞,展現早期診斷的應用潛力。蔡曜州主任也表示,團隊未來亦會著重將此項儀器應用於高風險族群及疑似早期個案中,期望為治療爭取更多時機。同時,他也提醒民眾,排尿異常不應視為單純老化現象,特別是有家族史者更應提高警覺,及早接受專業評估與相關檢查,以免錯失治療黃金期。

撰文/鄭冉曦;攝影/盧義泓、范宇宏、台北慈濟醫院
