
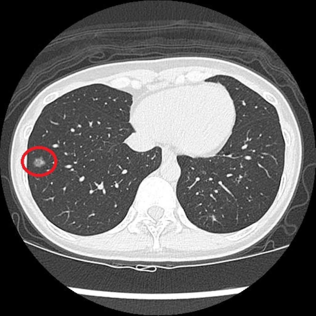
過去有長期的吸菸史的41歲的陳小姐,在醫療團隊的協助下戒菸近兩年,雖然沒有任何不適,但仍定期留意自身健康。因符合政府公費「低劑量電腦斷層(LDCT)」篩檢條件,她依建議至台北慈濟醫院接受檢查,卻意外發現右肺有一顆約1.2公分的毛玻璃結節,被轉診至胸腔外科門診,由洪嘉聰醫師進行單孔胸腔鏡微創手術切除病灶,術後病理檢查確診為肺腺癌第一期,目前定期回診追蹤中。
根據衛生福利部癌症登記資料,肺癌已連續43年高居國人癌症死因之首,其中吸菸仍是主要的危險因子,但臨床上也常見不吸菸者罹患肺癌,這往往與二手菸、空氣污染、特殊職場環境,以及本身具其他肺部疾病或家族史等因素有關。洪嘉聰醫師說明:「早期肺癌幾乎沒有明顯症狀,多數患者是在疾病進展後,才可能出現咳嗽、咳血或呼吸不適等警訊,因此民眾較難察覺異樣。」

篩檢方面,過去是以胸部X光作為工具,但由於影像為2D平面,對於體積小或位置較隱蔽的病灶辨識能力有限;若是改以一般劑量的電腦斷層檢查,雖能提升解析度,但其輻射劑量相對較高,且需較長時間代謝,不適合作為常規或大規模篩檢工具。而LDCT篩檢則是利用比傳統電腦斷層更低的輻射劑量,從多個角度掃描胸腔,重建出清晰的橫切面和立體影像,有助於偵測肺部的微小結節。洪嘉聰醫師指出,相較於傳統胸部X光只有少數約7%的受檢者會出現疑似異常影像,LDCT能使初次篩檢的陽性比例提升至約23%~24%,大幅增加早期病灶被發現的機會。

正因為能及早診斷,病人得以在罹癌早期接受治療。洪嘉聰醫師表示,醫學進步,早期肺癌現今主流手術為單孔胸腔鏡手術,僅需從側胸開一2-3公分的傷口,利用類似釘槍的自動縫合器,就能完成病灶切除與縫合;此外,針對高齡長者或經評估肺功能較差者,亦可考慮冷凍消融治療,在超音波影像導引下,將探針精準置入病灶,透過低溫氬氣或液態氮破壞癌細胞結構,達到局部治療的效果。只要能在早期診斷並及時接受合適治療,病人的五年存活率高達九成,復發率約落在2-3成之間。

洪嘉聰醫師提醒,國健署補助2年一次的LDCT公費篩檢,凡是具家族史或符合資格之重度吸菸者,皆應把握機會檢查。台北慈濟醫院何景良副院長也提到:「本院配合「健康台灣深耕計畫」進一步擴大篩檢對象,將年齡門檻放寬至40歲,並納入重度吸菸者同住家人、從事宗教服務、餐飲工作,以及曾暴露於石綿等致癌環境者的篩檢資格。」同時也呼籲,癌症長年位居國人十大死因之首,除口腔癌、大腸癌、乳癌、子宮頸癌、肺癌與胃癌外,台北慈濟醫院也納入肝癌及攝護腺癌的篩檢,鼓勵民眾早期篩檢、掌握癌症黃金治療期的重要性。
(撰文/鄭冉曦;圖片/傅長新、盧義泓、台北慈濟醫院)
