
27歲的林先生平時有規律的健身習慣,某次在健身房進行臥推訓練,在休息時放下槓鈴的瞬間,突然感到右側胸口劇烈疼痛,右上肢越發無力,伴隨瘀青腫脹,遂至台北慈濟醫院骨科門診求診。李奕澄醫師藉由理學檢查與核磁共振影像,診斷為右側胸大肌斷裂,隨即安排胸大肌肌腱縫合手術,固定斷裂肌腱。術後林先生按時復健,力量逐步回升,半年後也恢復日常生活。
胸大肌位於人體胸前表層,是覆蓋胸壁最外層、體積最大的肌肉之一,從胸骨與鎖骨一路延伸至上臂,負責肩關節內收與內旋,是執行推舉與支撐等上肢功能的重要肌群。而當手臂處於外展、外旋狀態,又同時承受高重量時,胸大肌肌腱所承受的拉扯力量加劇,斷裂風險隨之增加。李奕澄醫師表示:「胸大肌斷裂屬於相對罕見的運動傷害,主要發生在20-40歲、長期從事重量訓練的族群,臨床症狀包括急性劇痛、局部腫脹與瘀青、患側力量明顯下降等,外觀上也可能出現兩側胸部不對稱;若未及時治療,斷裂的肌腱可能逐漸回縮並產生沾黏,不僅上肢推舉與支撐力量會受損,外觀變形也可能成為永久性改變,對日常工作、自信心與生活品質造成長遠影響。」

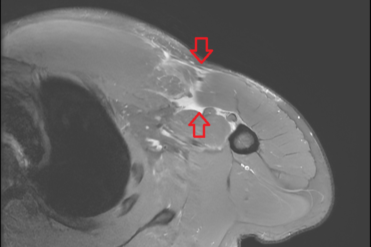
在檢查方面,醫師會先透過病史詢問與理學檢查,觀察胸型輪廓、瘀青分布、肌力變化與肌腱走向,並進一步以核磁共振檢查確認斷裂位置與程度。治療方式則需依病人狀況綜合評估,對於部分撕裂、功能需求不高的病人,可先採取保守治療,如休息、止痛藥物與復健訓練;但若為急性期完全斷裂,手術通常能帶來較佳的力量與外觀恢復。過去治療以傳統經骨縫合手術為主,需要在胸骨上鑽數個孔洞,再將斷裂的肌腱經孔洞縫合至原位。而近年則多採用縫線錨釘或皮質鈕扣等醫材進行固定,利用約4-6公分的手術傷口將斷裂的肌腱以高強度縫線重新拉回並固定在附著位置,不僅固定強度佳,也能減少對骨頭與周邊組織的破壞,有效降低術後疼痛,並幫助病人及早展開復健。李奕澄醫師補充,病人術後需依照醫師指引進行復健,整體而言,胸大肌修復後多數病人可望半年內回到運動或工作,但實際時程仍需視受傷程度與復健遵從性而定。
李奕澄醫師提醒,民眾進行健身訓練務必循序漸進,增加重量與次數前一定要先確認姿勢正確,也要做好足夠暖身,且避免疲勞狀態下操作;若在臥推或推舉動作中出現胸口劇痛、患側明顯無力時應停止運動,並盡快就醫評估,以免造成進一步的傷害。
(撰文/ 鄭冉曦;圖片/范宇宏、台北慈濟醫院)
