
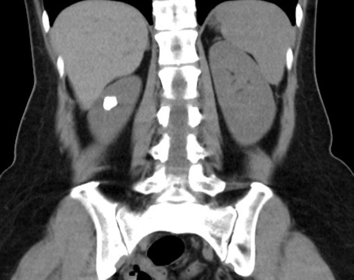
50歲的田女士天生患有腎盞憩室並伴隨結石,但因擔心傳統開刀手術的傷口與復原期,多年來僅在住家附近的診所定期追蹤。直到近期頻繁受到泌尿道感染困擾,嚴重影響生活品質,才轉至台北慈濟醫院就診。泌尿科鐘伯恩醫師經電腦斷層檢查發現,田女士左側腎臟內約有1.5公分的結石群嵌在腎盞憩室中,而憩室與正常腎盞之間的通道僅不到1毫米,導致尿液排出不良並形成結石。手術時先以具止血效果的雷射切開並擴大憩室狹窄的通道,接著以「負壓吸引鞘與軟式輸尿管鏡碎石手術」將結石擊碎並同步吸出,放置雙J導管維持通道通暢直至傷口定型後取出,以降低日後再次狹窄及尿液滯留的風險。術後田女士恢復良好,隔日即順利出院,成功解決多年來的結石與反覆感染問題。
鐘伯恩醫師表示,腎盞憩室是一種較罕見的先天性腎臟結構異常,腎盞向外形成囊袋狀空間,發生率約0.2%至0.6%。由於憩室內尿液排空較差,容易造成尿液滯留並形成結石,部分患者可能出現反覆泌尿道感染、血尿或腰痛等症狀。由於腎盞憩室與正常腎盞之間的通道通常較為狹窄,尿液容易在憩室內滯留,進而增加結石形成的機會。部分患者因此會出現反覆泌尿道感染、血尿或腰部疼痛等症狀。若長期反覆感染未妥善治療,可能造成腎臟功能受損,甚至引發膿瘍或敗血症等嚴重併發症。2025年,鐘伯恩醫師曾於美國醫學會期刊《JAMA Network Open》發表的《腎結石病史與上泌尿道上皮癌生存預後之關聯》論文中提及,泌尿系統結石病史與較高的「上泌尿道尿路上皮癌」發生率有關,且在罹患泌尿系統癌症後存活期顯著較短,癌症死亡風險更比無結石病史者高約83%。因此,儘管腎盞憩室結石初期並未造成明顯不適,仍需盡早就醫檢查,避免拖延錯失治療良機、導致嚴重併發症甚至癌變。

針對腎盞憩室結石的治療,傳統多採用經皮穿腎取石術(PCNL),需從背部切開傷口,並以粗度約1公分的導管穿刺進入腎臟進行取石,傷口較大、且因腎臟血流旺盛,出血風險相對較高。隨醫療技術進步,目前小於2-3公分的腎盞憩室結石可透過「負壓吸引鞘與軟式輸尿管鏡碎石手術」治療。鐘伯恩醫師說明,此術式利用極細的軟式輸尿管鏡由尿道進入腎臟,配合高能雷射將結石擊碎並吸出,再視情況切開並擴大憩室通道洞口、避免尿液淤積造成結石復發。由於負壓吸引鞘在手術過程中可持續產生負壓,有助於即時將尿液與碎石排出,減少碎石與細菌回流,進而降低感染風險。此外,此術式經由尿道自然通道進入腎臟,無需皮膚切口,術後疼痛較輕、恢復速度也較快,對於擔心手術傷口的患者而言,是兼顧安全與外觀的微創治療選擇。隨著技術成熟,愈來愈多醫師將其應用於腎結石的治療。
鐘伯恩醫師提醒,民眾若發現自己有反覆泌尿道感染、腰部痠痛或血尿等徵兆,應及早就醫檢查,切莫因恐懼手術而延誤病情。現代微創技術發達,多數結石問題皆能透過非傳統開刀方式解決。同時也呼籲民眾平時應多喝水、避免憋尿,並維持良好的飲食與衛生習慣,以降低結石與感染的發生風險。早期診斷、精準治療,才能保障腎臟健康,守護生活品質。

撰文/周子寧;攝影/盧義泓、台北慈濟醫院
