
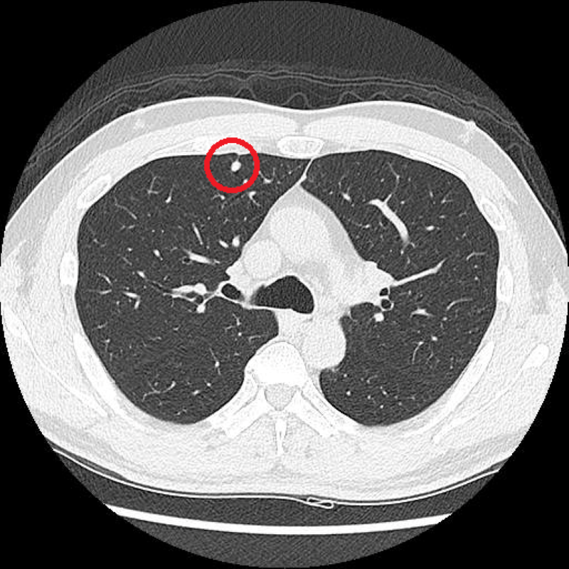
低劑量電腦斷層(LDCT)在肺癌的篩檢日漸普及,但篩檢出微小結節後是否需要切除,也成為許多人的疑問。對此,台北慈濟醫院胸腔外科陳東仁醫師指出,肺結節不等於肺癌,更不代表一定要立刻開刀,臨床上會依照病灶大小、型態、位置及變化綜合判斷。加上肺癌治療已朝向精準醫學發展,對於部分位置或大小難以掌握的肺部病灶,可以透過術前電腦斷層染色定位或螢光定位,盡量縮小切除範圍,保留更多正常肺葉與肺功能。以61歲黃先生為例,戒菸一段時間的他主動接受LDCT篩檢後,發現右上肺有一顆約0.5公分的肺部結節,考量影像沒有高度惡性特徵,陳醫師安排他持續追蹤觀察,若有變大趨勢再進一步討論醫療方針。
肺癌長年高居國人癌症死因前列,且早期往往沒有明顯症狀,許多患者等到出現持續咳嗽、咳血、胸悶、呼吸困難或體重下降等症狀時時,病情已進入中晚期。「並不是只有吸菸者才會得肺癌。」陳東仁醫師表示,臨床上除吸菸仍是重要危險因子外,一等親肺癌家族史、慢性肺部疾病,以及長期暴露於二手菸、油煙或空氣污染等環境,也都可能增加罹癌風險。在過去,臨床多以X光作為初步檢查工具,對較小或位置較隱蔽的病灶辨識力有限,而近年政府推廣的LDCT能透過較低的輻射劑量進行多切面掃描,重建出更清楚的肺部影像,成為目前具國際實證的肺癌篩檢工具。

陳東仁醫師說明,針對篩檢出的微小結節,醫師無法單從影像直接判定良性或惡性。「根據國際指引,實質性的結節必須超過0.8公分或持續增大才會建議處理,但民眾若能定期追蹤,一旦出現變化,便能及早治療,而若能在早期就確診並接受適當治療,患者的五年存活率可高達九成。」陳醫師進一步說明,即便是真正需要處理的病灶,醫師也會依照大小、位置及臨床評估決定治療方式,若是早期腫瘤、體積小或位置較深,手術中有時不易用肉眼或觸感精準找到病灶,因此現在可在手術前先進行電腦斷層導引染色定位或螢光定位,協助術中快速辨識腫瘤位置,再用微創的方式進行手術。不僅提升切除精準度,也能避免切除過大的肺部範圍,盡量保留更多正常肺葉,減少不必要的正常組織切除。
陳東仁醫師提醒,面對肺癌威脅,民眾不必因為擔心篩檢後發現結節就過度恐慌,反而忽略了早期發現的重要性;且臨床端僅會切除高度懷疑是惡性的腫瘤,並非所有發現都需要手術。因此陳醫師建議民眾,若符合篩檢資格,應依照醫師評估接受低劑量電腦斷層檢查;若已發現肺部結節,也應配合門診規律追蹤,不要自行中斷。治療或手術後則應依照醫囑持續回診,並透過適度活動幫助肺功能恢復。唯有建立正確觀念、定期檢查並配合專業評估,才能把握早期介入時機,守住肺部健康。
撰文/廖唯晴;攝影/盧義泓、台北慈濟醫院
