
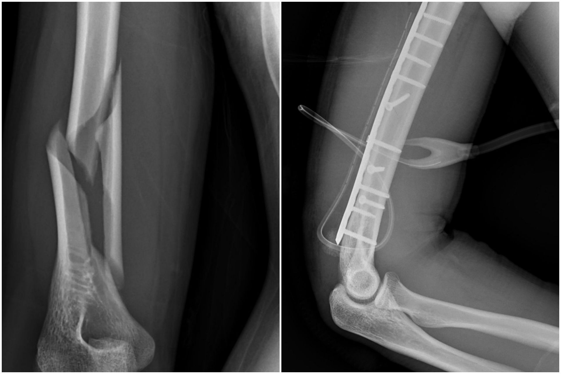
29歲男子與朋友一時興起比腕力,沒想到在激烈對抗下,上臂突然劇痛、當場失去支撐力,就醫檢查為右上臂肱骨螺旋性骨折。花蓮慈濟醫院骨科醫師張家銘指出,比腕力骨折並非罕見,與一般跌倒或撞擊造成的骨折不同,主要來自瞬間強大的扭轉力,提醒民眾切勿逞強,以免樂極生悲。
張家銘醫師說明,腕力比賽時,雙方手臂呈交叉對抗,肩膀會產生內旋動作,前臂如同槓桿,力量集中於肱骨遠端,形成強烈的旋轉扭力,此時若力量超過骨頭強度負荷,便可能造成螺旋性骨折,這種骨折不是外力撞擊,而是因為扭轉造成骨頭就像被擰斷一樣。
醫師也特別提醒,肱骨附近有重要的橈神經通過,負責手腕與手指伸直功能。若骨折力量波及神經,可能導致「垂腕」等神經損傷,嚴重時甚至影響日常生活功能,所幸病人是單純的骨折,沒有影響到神經功能。
治療方面,醫療團隊採取手術方式,自後側切入,在避開神經的前提下進行骨折復位,並以鋼板固定,協助骨頭穩定癒合,經適當治療與復健,多數病人可恢復正常生活與活動能力。

張家銘醫師進一步指出,這類骨折常見於年輕族群,特別是手臂較長、四肢纖細、身材瘦高者。從力學角度來看,手臂越長,產生的力矩越大,在比腕力時更容易因瞬間內旋力量過強而導致骨折,且骨頭強度並非無限,即使年輕健康,若力量過大仍可能造成骨折。
針對預防,張醫師建議民眾進行腕力活動時應量力而為,避免過度用力或長時間僵持對抗,若在過程中出現劣勢,應讓身體順勢移動,減少手臂承受的扭轉壓力,而非硬撐到底。此外,平時可透過適當重量訓練與運動提升骨骼與肌肉強度,但仍需循序漸進,避免瞬間過大負荷。
張家銘醫師也提醒,若活動過程中出現劇烈疼痛、手臂變形或無法活動等情形,應儘速就醫檢查,把握治療時機。娛樂活動應以安全為前提,避免因一時逞強造成不必要的傷害。

撰文/江家瑜;攝影/江家瑜、花蓮慈濟醫院
